LA & OC’s Best Deals!
Dental Implants, Invisalign® and Veneers
Implants
We can address missing teeth with an implant post to restore oral functions. Call for a free consultation.
Veneers
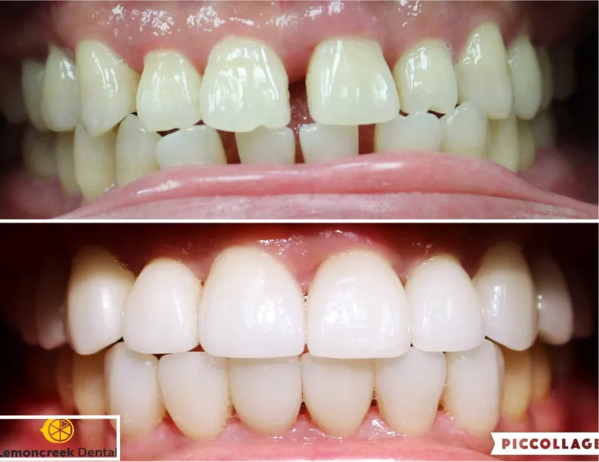
We can give you that Hollywood dream smile you have been looking for with our custom veneers. Schedule your free consultation today!
Invisalign®
Let us help you achieve a stunning smile with Invisalign® clear aligners at Lemoncreek Dental. Schedule a free consultation.
More Ways We Care For Your Smile
View All ServicesWisdom Teeth
We can remove impacted wisdom teeth to prevent infection and discomfort. Schedule your screening to see if you need treatment.
Root Canal
Our dentist and team can address teeth that have decay that has reached the roots. Let us restore your oral health.
Cosmetic
We can address the aesthetic aspects of your smile and boost your confidence! Let us give you a reason to smile.
Sleep Apnea
Do you or your loved ones’ snore? They might be suffering from sleep apnea. We can help! Learn more during your next visit.
Exceptional Dental Care in Walnut, CA
Kai Chang, DDS
Dr. Kai Chang is a proud UCLA School of Dentistry graduate, where he earned multiple honors before completing advanced residency training in cosmetics, root canals and implants through the prestigious UCLA AEGD program. He is also certified in advanced surgical implant dentistry through the Brazilian Association of Dental Surgeons.
Invisalign® Gold Plus provider
Member of various dental organizations
Provides personalized, comprehensive and tailored care
Zest Dental Implant Mastership
Trinon Collegium Practicum Advanced Implantology certificate
Remarkable Results
Outcomes That Speak For Themselves
At Lemoncreek Dental, we focus on providing personalized dental care that delivers real results. Our dentist and team use advanced techniques and technology to ensure every treatment is effective and tailored to your unique needs. Whether you are improving your smile’s aesthetics or addressing oral health concerns, our patient-centered approach fosters trust and lasting outcomes. From routine care to transformative treatments, we are committed to helping you achieve a healthy, confident smile.
Patient Testimonials
Real Stories, Real Smiles
i was a new patient here and the office and staff were very welcoming i did not wait long before being taken back to get my x-rays taken.dr was very thorough and explained everything for me to understand and the hygienist was very nice and gave me helpful tips to better my oral hygiene.the assistant was also very nice and helpful. overall a wonderful experience and i will continue to come back!
Gema G.
December 2024
Dr Chang always provides the best care. If you live in Walnut, he is the dentist to visit. Otherwise you’re missing out!
Ronald W.
December 2024
Clean, pleasant and timely manner. Thank you staff and doc
Vince N.
December 2024
Lemoncreek Dental is the absolute best. Dr.Chang is a great dentist. He is knowledgeable. He is patient. He walks you through each step and procedure. And most importantly to me, he has a very gentle hand. From cleaning to cavities to implants, I haven’t experienced any pain. In addition, his assistants are attentive, kind, and thorough. The office is comfortable, soothing music is played, and calming videos are projected. I give a 5 star rating to this business!⭐️⭐️⭐️⭐️⭐️
Lynn W.
June 2024
My experience at Lemon Creek Dental has been very positive, from Dr to all the staff. I came to Dr. Chang for implant consultation a month ago and the procedures started today. Dr. Chang took time to answer all my questions and concerns during the consultation, each phase of the treatment was clearly explained to me. He recommends the treatment of my need and does not try to upsell the work that is not necessary. I highly recommend this this dental clinic.
Lynn L.
August 2024
The staff here cares a lot about your teeth and the doctor is very informative and helpful when it comes to finding the best plan for your dental journey. I had a hard time in the past finding a good dentist due to anxiety so I’m happy I found such a welcoming and calming place. :)
Brigette M.
November 2024
Today was the first time I went to lemoncreek dental and they were amazing!! super nice so friendly Dr explained everything so well thank you so much..great place!! I really recommend it to friends and family definitely going back
Gabby
May 2024
I found this place while shopping in the neighborhood. What caught my attention was the sign UCLA. I am a nurse at UCLA so I like everything bruin. I walked in and spoke to the staff. They were so helpful and friendly. The place looked so clean and they even soft drinks and water for free. I made an appt for cleaning and Dr Chang did not disappoint- he is professional, gentle and as a nurse I can say he is the best dentist ever. I will recommend him to everyone who needs dental work. I like the appt reminders and the birthday wish they sent me 🎂talk about excellent patient care!!!!This is my new found Joy in 2024❤️
Zee M.
March 2024.
Let’s Make Your Smile Shine
Make Your Appointment Today
Scheduling an appointment at Lemoncreek Dental is simple and convenient. Call us to speak with our friendly team, or use our online scheduling tool to choose a time that fits your busy life. Our dentist in Walnut, California, look forward to helping you achieve your most confident smile.